Cosmetic dentistry is a therapy of professional dental care mainly focusing on improving your smile. Moreover, cosmetic dentistry is an elective procedure, not compulsory; however, some cosmetic dentistry treatments provide restorative benefits. You should know about the main cosmetic dentistry treatments such as:
Inlays and Onlays
Inlays and outlays treatment, also known as an indirect filling, is made by a dental laboratory. A dentist near me uses this treatment when you have a mild to moderate teeth cavity, and tooth cavities can support a filling. Also, your tooth cusps have no damage, and the inlays are directly put onto the tooth surface.
Inlays and outlays are fabricated in dental laboratories; initially, they are made of gold but later on, composite of porcelain or ceramic material are attached to the teeth with dental cement. They also strengthen your teeth and their structure and avoid further decay to your teeth.
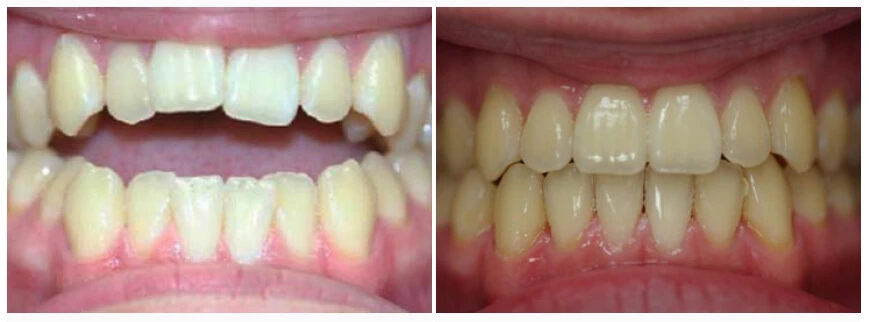
Composite Bonding
Composite bonding refers to the restoration of decayed, damaged, or stained teeth using teeth\' enamel color material.
The dentist office near me, trims the decayed part of your teeth, applies the compost material on the tooth\'s surface, and then shapes it into proper teeth by using UV rays to fasten the bonding procedure. This procedure covers damaged parts and gives like-a healthy teeth.

If you are suffering from cracked, knocked, or worn-down edges, you should consider having composite dental bonding; also, it is one of the least expensive cosmetic procedures. Contact Dental Clinic near me for composite bonding.
Dental Veneers
Dental veneers are custom-made thin shells that cover your naturally damaged teeth. They also look realistic and resolve problems like cracked or damaged teeth, enamel or noticeable gaps between teeth, or stained teeth. A dentist applies the veneer shells to the front of your every tooth with the help of dental cement.
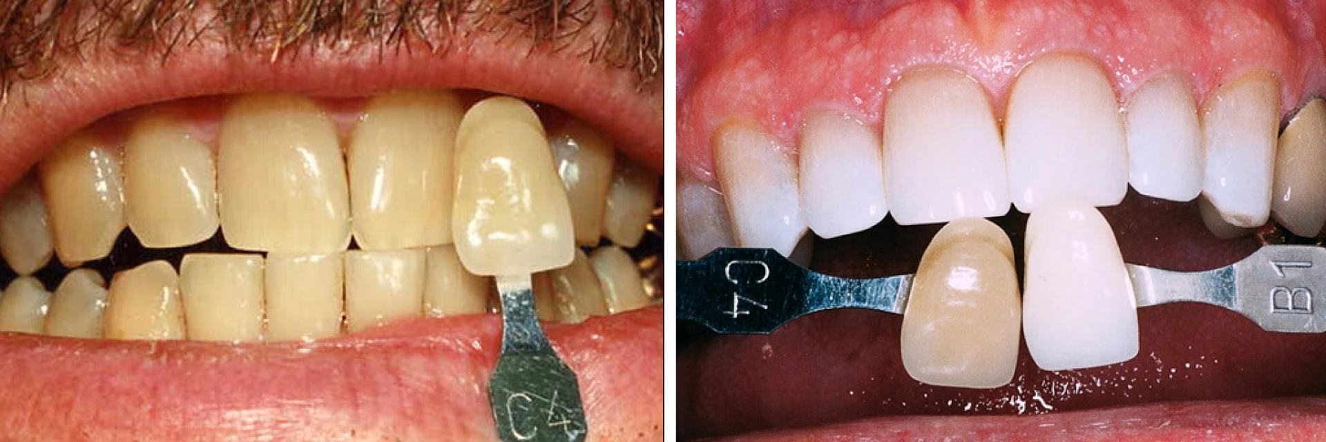
Teeth Whitening
Teeth whitening is one of the most widespread cosmetics dentistry. It can be performed at home or by a celebrity dental implants before and after, which takes one visit. In this procedure, your dentist will remove plaque, tartar, and food particles from each tooth and restore its natural appearance.

Later they apply a bleaching agent to achieve a whiter teeth shade than its original color. Over time, consuming food, medication, drink, and personal habits like smoking or wine stains your teeth. Additional patients can use whitening toothpaste to achieve the objective in a few weeks.
Implants
Dental implants are used to replace damaged or missing teeth. In this procedure, your dentist inserts a titanium screw inside your jaw of missing teeth to support a dental crown. These crowns are the same teeth-like and permanent screw into a tooth. Once your teeth start fusing to the implants, they get permanently secured.
Conclusion
If you are a candidate for cosmetic dentistry treatment, you should consider visiting a celebrity dentist for proper treatment. Also, they will help you by providing more guidance on which treatment is best for you.
Article Source : https://www.bloggingbeep.com/what-is-the-main-treatment-in-cosmetic-dentistry/
0
