The disease mainly leads to tooth loss if you do not treat it on time; the result causes inflammation of the gums and bones around the teeth. There are two stages of gum disease. If the first stage is not diagnosed on time, it can lead to the second stage of gum disease. The condition can be reversed in the first stage, and tooth loss can usually be averted. Still, it becomes more difficult in the second stage.
To prevent gum disease, maintain good oral hygiene and visit your periodontal dentist for cleanings and check-ups every 6 months if you notice signs like red or swollen gums and loose teeth.
Signs of periodontal disease include red and swollen gums, bleeding gums, persistent bad breath, receding gums, and loose teeth. Smoking, particular illnesses (such as diabetes), elder age, anxiety, and other aspects increase a patient\'s periodontal disease risk.
If you have periodontal disease, your periodontal specialists may refer you to a periodontist who specializes in treating gum diseases. If you do not treat periodontal disease, it may lead to tooth loss.

Advanced Stages of Periodontal Gum Disease:
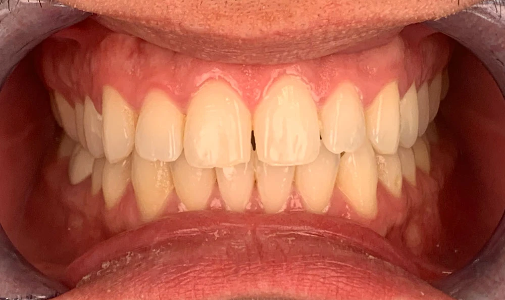
Healthy Gums
A healthy gum will appear firm and pink attached to the teeth, and reinforced by bones are a good indication of healthy gums and teeth. Your gums and teeth are healthy, but you must visit your Dentist Houston Tx every 6 months.
Gingivitis
This is the first stage of gum disease. In this stage, the bacteria start building up and cause gingivitis. The area of the gums is affected, and the gums become swollen and red. When you brush your teeth or feel teeth irritation, then it can indicate that gingivitis is present. You may consult your dentist and make an appointment to remove plaque buildup and prevent gum disease.
Early Periodontitis
When you do not treat the infected gums on time, they become more infected and start to pull away from the teeth and make space between the teeth which eventually can cause tooth loss if not treated. The space is known as periodontal "pockets," Soon, the pocket gets filled with food, and bacteria begin to form plaque and collect in the pockets, leading to significant infection. The bone near the affected area becomes infected by bacterial toxins and the immune system\'s response to disease.
Moderate Periodontitis
In this stage, the number of bacteria becomes intense, and the more severe the inflammation extends, you will have some discomfort. The supporting bone is lost, teeth loosen, and the gums recede further, causing bone loss.

Advanced Periodontitis
It is the leading cause of tooth loss in aged people. Advanced periodontitis is the last and most painful stage resulting from the infection spreading under the gums, which is irreversible. Your dentist near me open today and will extract the tooth anyhow.
Treatment For Gum disease:
The treatment options for gum diseases are often removing the deposited plaque and tartar or Scaling and cleaning.
Scaling and root planing is the first technique to treat periodontal gum disease. It is a deep cleaning procedure that helps remove bacterial plaque and calculus (tartar) with the help of tools. Scaling is scraping tartar, the hard substance on the teeth, and below the gum line, and root planing will file the teeth\' surface.
In Conclusion:
If left untreated, gum disease can cause tooth loss, and it is better to treat the condition when you notice the symptoms. Visit your Houston dentist if you suffer from swollen or bleeding gums. Call your dentist now and book an appointment.
Article source : https://www.ihealthytips.com/how-is-periodontal-disease-severe-disease/
0
